O scanner de imagem por ressonância magnética mais poderoso do mundo tira as primeiras imagens
Uma imagem do cérebro humano tirada com o novo scanner de ressonância magnética Iseult a 11,7 Tesla
Um passo importante acaba de ser dado no campo da imagem médica. A CEA acaba de divulgar as primeiras imagens do seu novo aparelho de ressonância magnética. Graças à força magnética superior a 11 Tesla, as imagens resultantes são muito mais claras do que as de outros dispositivos. Esse avanço técnico permitirá que os médicos ofereçam tratamentos mais eficazes para doenças neurodegenerativas e psiquiátricas.
Foram necessários 20 anos de pesquisa e desenvolvimento para que a Comissão Francesa de Energia Atômica e Energias Alternativas (CEA) desse vida ao projeto Iseult. Trata-se de uma máquina de ressonância magnética (MRI) que afirma ser "a mais poderosa do mundo". Médicos, neurologistas, físicos e matemáticos uniram forças para alcançar esse objetivo. A impressionante máquina que eles projetaram pesa 132 toneladas e contém 182 km de fios supercondutores. Com a ajuda desse dispositivo, eles resolveram o problema de obter as imagens anatômicas mais detalhadas do cérebro até hoje, abrindo acesso a informações antes inacessíveis.
Antes de testar o scanner de ressonância magnética Iseult em humanos, ele escaneou abóboras pela primeira vez há alguns anos. Para marcar o início de seu uso em humanos, foi aplicado em 20 voluntários saudáveis. Os resultados são surpreendentes, como recentemente relatado em um comunicado de imprensa da CEA.
Poderoso campo magnético que revela detalhes sem precedentes
A ressonância magnética de Iseult opera a uma potência magnética máxima de 11,7 Tesla (T), que é excepcionalmente alta em comparação com os scanners de ressonância magnética convencionais. Normalmente, os scanners operam com intensidades de campo magnético muito mais baixas, tipicamente em torno de 1,5 T e 3 T.
Este alto poder magnético garante uma melhor qualidade de imagem. A resolução espacial da varredura é de 200 micrômetros (μm), o que significa que o instrumento pode identificar dois pontos que estão a apenas 200 μm de distância. Essa alta resolução proporciona imagens mais estruturadas e precisas, permitindo que os médicos realizem exames com mais eficiência.
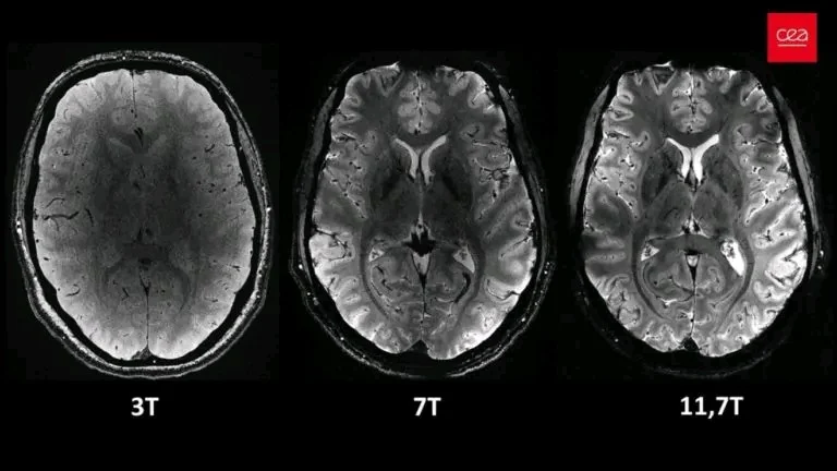
Imagens comparativas do cérebro humano tiradas com o novo scanner de ressonância magnética da Iseult em diferentes níveis de potência – 3 Tesla (T), 7 T e 11,7 T – todas tiradas no mesmo período de tempo, mostrando a quantidade de detalhes extras produzidos em maior potência. © CEA
A alta força magnética do Iseult também significa que as imagens podem ser tiradas em tempo recorde (quatro minutos). Com equipamentos convencionais, esse processo leva em média de 30 a 45 minutos para o cérebro. "Podemos capturar imagens na escala de vários milhares de neurônios, o que significa que em apenas alguns minutos podemos obter detalhes muito precisos da anatomia, conexões e atividade do cérebro", explica Alexandre Vigneault, diretor de pesquisa do CEA.
Melhor compreensão do cérebro
O novo dispositivo deve eventualmente levar a uma melhor compreensão de como o cérebro funciona. As imagens podem mostrar mais claramente como o cérebro codifica representações mentais (pensamentos, memórias e percepções), bem como fornecer detalhes estruturais adicionais.
Além da pesquisa básica do cérebro, o scanner de ressonância magnética Iseult pode ajudar os médicos a diagnosticar e tratar doenças neurodegenerativas. As imagens revelam "assinaturas químicas" que podem nos dizer muito sobre doenças neurológicas. Essa informação não é perceptível em uma ressonância magnética de rotina. Se os médicos detectarem assinaturas químicas associadas a doenças neurodegenerativas, como Alzheimer ou Parkinson, poderão fornecer tratamentos mais precisos e intervir de forma mais eficaz.
Imagens de alta resolução também facilitarão a avaliação da eficácia de alguns medicamentos. Além disso, eles ajudarão a entender como o lítio afeta o cérebro e como ele é distribuído lá. O lítio é frequentemente usado como um agente estabilizador do humor para o transtorno bipolar.


Postar um comentário em "O scanner de imagem por ressonância magnética mais poderoso do mundo tira as primeiras imagens"
Postar um comentário